急性脑梗塞怎么治疗
时间:2020-05-19 11:09 作者:冬雷脑科
《柳叶刀》6月24日在线发表2017年中国疾病负担研究——中国及其各省的死亡率、发病率和危险因素,1990-2017:2017年全球疾病负担研究的系统分析,结果显示慢性疾病如中风、缺血性心脏病以及肺癌,现已成为中国人群过早死亡的主要原因。可见脑卒中对中国人群健康的威胁。那么脑卒中如何治疗呢?
脑卒中(stroke),又称为急性脑血管病,可分为两大类,一类是缺血性脑卒中,主要包括急性脑梗塞、脑栓塞、短暂性脑缺血发作,另一类是出血性脑卒中,主要包括脑出血和蛛网膜下腔出血。
发生脑卒中后通常表现为:
-
一侧肢体(伴或不伴面部)无力或麻木;
-
一侧面部麻木或口角歪斜;
-
说话不清或理解语言困难;
-
双眼向一侧凝视;
-
一侧或双眼视力丧失或模糊;
-
眩晕伴呕吐;
-
既往少见的严重头痛、呕吐 ;
-
意识障碍或抽搐。
为了帮助普通人群及急救人员、非神经科医生识别脑卒中患者,推荐大家学习一下中风120:
1:看1张脸,是否对称,是否有口角歪斜;
2:查2只胳膊,是否能同时上举,是否有一只不能坚持上举,很快掉落;
0:聆听语言,是否有口齿不清、讲话困难;
一旦发现有上述症状,尽快拨打120,并告知急救人员,患者可能发生脑卒中了,需要尽快救治。
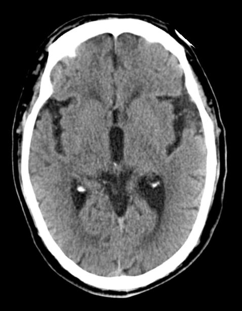
前文讲到脑卒中分为两大类(缺血性脑卒中和出血性脑卒中),两种卒中在临床表现上有很多相似之处,即使是专业人员仅仅通过临床表现也未必能准确鉴别。所以,怀疑脑卒中的患者应尽快进行头颅CT扫描以辨别是出血性脑卒中还是缺血性脑卒中。
脑出血的CT表现

缺血性脑卒中的CT表现
通过CT明确诊断后即可给予相应针对性治疗。其中缺血性脑卒中的救治需要争分夺秒,在发病后4.5小时内,排除禁忌症后,应用溶栓药物有可能将血栓溶解,使脑血管部分或完全恢复通畅,促进偏瘫、言语不利等功能障碍的恢复,减轻或避免后遗症。
因为溶栓治疗时间窗短,且很多患者因为发病的具体时间难以明确、不能及时到达医院、病情过重等原因不能进行溶栓,所以实际上缺血性脑卒中患者进行溶栓治疗的比例很低(平均不足10%)。近5年来急性缺血性脑卒中的救治技术发展迅速,应用动脉内介入治疗使更多患者获得更好的治疗及恢复。动脉内介入治疗与溶栓治疗一样,目的都是是堵塞的脑动脉血管尽早恢复血流,因此也是越早开始越好,最好是在发病6小时内,部分患者在发病24小时内也可以尝试。