时间:2025-11-03 11:50 作者:冬雷脑科
一处肿瘤,两场手术,共耗时32小时!上海冬雷脑科医院高亮教授团队成功为青海藏族患者切除“颅底颈静脉孔巨大颅内外沟通肿瘤”,帮助他重建生活信心。

高亮 教授
上海冬雷脑科医院学术院长
高亮神经外科名医工作室首席专家
高亮神经重症创伤救治中心首席专家
“本病例手术创下我院几项纪录:单次栓塞用胶量达26支、颅底沟通瘤连续手术时长24小时。”高亮教授强调,“这是一场极其艰苦的肿瘤切除手术,成功的关键除去手术技术外,更在于团队的勇气、耐心和精密协作。”
1
青海藏族同胞病魔缠身十余年
来自青海的藏族患者扎西早已记不清右耳持续不断的搏动性耳鸣是从哪一年开始的。近15年来,耳鸣如影随形,听力逐渐下降。8年前,家人发现他的右眼开始异常突出;3年前,右侧面部麻木、左下颌疼痛和视物重影接踵而至;1年前,连说话都变得含糊不清。
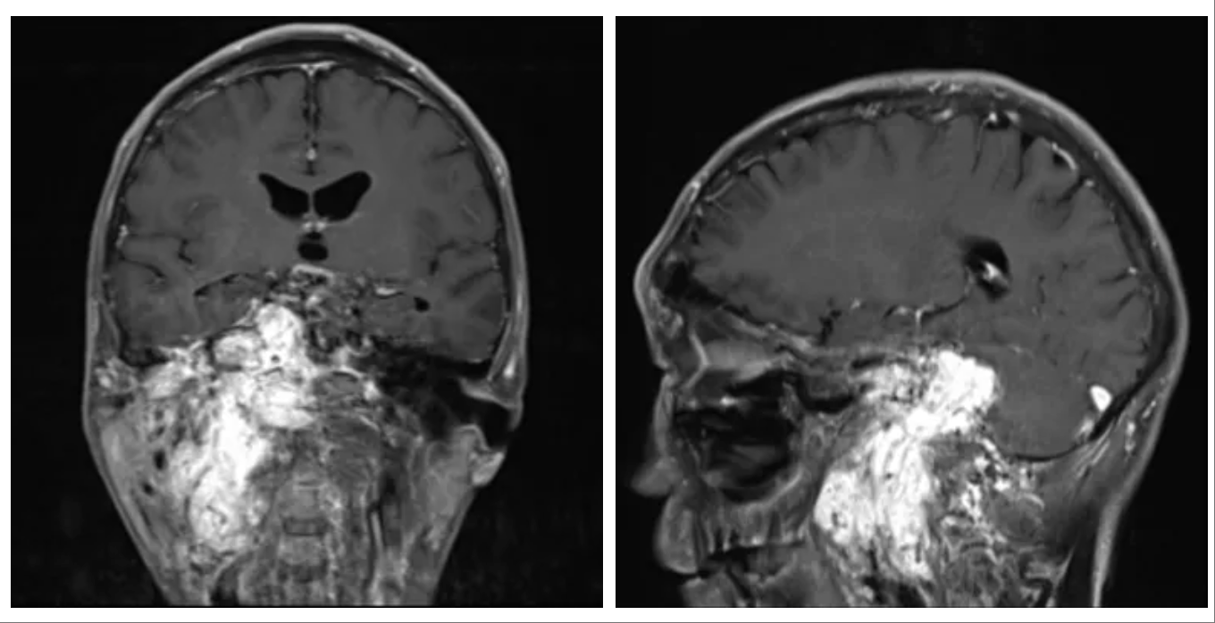
今年6月,扎西在外院检查后发现,其颅底颈静脉孔区存在巨大颅内外沟通肿瘤,这个肿瘤正是导致他十多年来所有症状的根源。

2
巨大颅内外沟通肿瘤暗藏杀机
处理颈静脉孔巨大颅内外沟通肿瘤,远不止是“棘手”二字可以概括,它是神经外科领域公认的顶尖挑战之一。扎西此前多方辗转求医,得到的多半是无奈地摇头。

盖延廷 主任
上海冬雷脑科医院神经外科主诊专家
神经介入创新学术中心主任
上海冬雷脑科医院脑血管专家盖延廷主任介绍:“颈静脉孔是颅底的一个骨性孔道,像一条至关重要的‘电缆管道’,里面有负责大脑血液回流的颈内静脉、负责大脑供血的颈内动脉等关键‘电缆’通过。

此例颈静脉孔巨大颅内外沟通肿瘤具有三重高危特性
一是贯穿颅内外,经颈静脉孔同时侵犯颅内和颈部,手术需要同时打开颅腔和颈部,解剖结构更复杂;
二是肿瘤血供异常丰富,10多根血管深入瘤体缠结,手术中将出血凶猛;
三是肿瘤区域与颈静脉孔中的‘电缆’、脑干紧密粘连,稍有不慎将导致神经受损,甚至呼吸心跳骤停。”

3
两场手术分阶段攻坚切除肿瘤
面对该患者严峻且复杂的病情,经过缜密研讨后,高亮教授团队确立了 “风险分层,精准控制” 的核心策略,制定了三步走的精准方案:
先介入栓塞降低肿瘤血供控制出血风险,再分块切除肿瘤,术中实时神经电生理监测提供动态防护。环环相扣的方案,以确保手术在可控的轨道上稳步推进。两场手术就此展开。
成功的栓塞
是开启肿瘤切除高难度手术的钥匙
第一场颅内血管栓塞术由神经介入团队操刀。盖延廷主任操作微导管精准超选多根肿瘤供血动脉,共注入26支医用栓塞胶阻断血流,这相当于一般性复杂手术用量的6倍!整个手术过程耗时8个小时,需要无比精细的手上感觉和极大的耐心。

挑战核心难点
分区切除巨大肿瘤
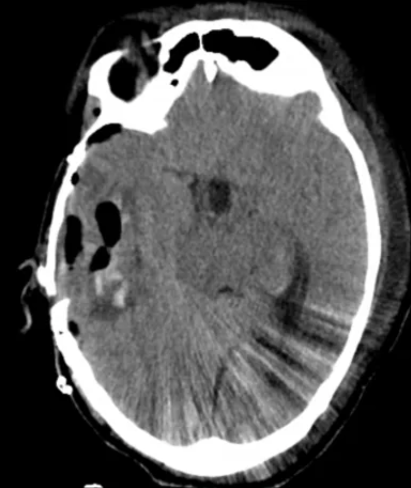
在经过一周的病情稳定后,第二场巨大颅内外沟通瘤切除术正式开启,神经外科团队挑战核心难点。这场手术从清晨8点持续至次日8点,整整24个小时!
在神经导航系统、神经电生理监测、内镜等尖端设备辅助下,高亮教授将该巨大肿瘤分区、分块,从脆弱的脑干和神经上小心翼翼剥离。
手术室内,医生、护士、麻醉师轮番上阵,接力协作;手术室外,家属的心也悬了整整一天一夜。最终,手术顺利结束。

青海藏族同胞扎西在术后恢复良好,现已出院返乡接受后续的康复治疗。医院建立了长期随访机制,持续跟踪患者预后。
艰苦的马拉松式手术
彰显医者无畏担当

两场手术,共耗时32个小时!这是现代神经外科技术、多团队精诚协作与医者无畏担当的结晶,是一个庞大系统的胜利。
在手术中,外科医生展现出了极致的专注力、精湛的显微外科技术和惊人的体力毅力;麻醉团队是幕后的生命支柱;手术室护士的高效配合是手术流畅进行的润滑剂。所有人沉着应对的勇气、耐心与坚定的信念,如稳固的基石,保障了手术的成功。
当技术突破与团队协作形成合力,复杂颅底肿瘤治疗已然迎来治愈曙光。